今日の気になるニュース
動画・画像・ニュース紹介ブログ
アンテナ系ブログ
ニュル・蓮コラ・蛆虫
鼻の奥に潜む数千匹のウジにズームインッ!!
鼻の穴の中のマイクロスコープ映像ですが、おくにウジウジとうごめくウジのようなワームが大量に潜んでいやがりました。ここがウジの秘密基地だった模様です。- 2012.2.9
- 動画・ニュル・蓮コラ・蛆虫

クロホエザルに寄生したボットフライの摘出映像
人間や動物など種別を選ばず寄生するボットフライの幼虫。今回寄生されたのはハウラーモンキー(クロホエザル)さんだそうで、何箇所も寄生され痛々しい姿となっていまっていました。- 2012.2.5
- 動画・ニュル・蓮コラ・蛆虫

ニキビ治療薬「アキュテイン」を使用した男性の途中経過映像がすごい
アキュテインは難治性のニキビに対しかなりの効果がある治療薬とされており、海外では人気の医薬品ですが、医師や薬剤師などの専門家による緊密な指導の下でのみ使用が許可されているもので、日本では厚生労働省が認可していないそうですが医師が個人輸入して使用する事は認めているそうです。でもってそのアキュテイン、その効果とは裏腹に副作用が大きく、服用開始直後は薬の影響でアレルギー反応を起こし、前よりもひどくなる人もいるんだそうです。でもってこの男性、病院の指導のもと、アキュテインで治療を開始したそうなのですが、その反応性アレルギーのニキビがすごいことになっているようです。
- 2012.1.31
- 動画・ニュル・蓮コラ・蛆虫

恐竜の卵みたいな巨大嚢胞の手術映像
胎児2.3人分は余裕な腹部からの巨大な卵巣嚢胞の除去手術映像だそうです。グワっと医師が切開した腹部に手をつっこんでるわけですが、そうでもしないと取れないほどの大きさだったんだな。ちなみに重さは15,7キロあったそうです。無事手術が成功してよかったです。- 2012.1.23
- 動画・ニュル・蓮コラ・蛆虫

鼻からエイリアン?あーびっくりした!!
鼻の通りが悪く何かが詰まってると感じた男性は病院にて鼻の中のものを除去してもらったのですが、最初細長いのがピローンとでたから油断してたら、本気でびっくりしたー!- 2012.1.20
- 動画・ニュル・蓮コラ・蛆虫

耳の中からモンゴリアンデスワームっぽいものの摘出手術
マゴットの一種なのかどうかはわからないままに、かなりグロめのモンゴリアデスワームっぽい虫がニュルんとでてきます。ボッハァってなります。- 2012.1.7
- 動画・ニュル・蓮コラ・蛆虫

背中からカチンコチンのとんがりニュル
背中からのニュル映像なのですが、便秘っぽいカンジでかなり固めのトンガリコーンからのスタートとなっております。また、ご家庭でのDIY作業だそうです。- 2012.1.5
- 動画・ニュル・蓮コラ・蛆虫

UV光源偏光顕微鏡で見る女性のニキビ除去映像がイチゴみたいで新感覚
UV光源偏光レンズという偏光顕微鏡を使っての顔面からのニュル放出映像だそうです。赤いのは血液なのかなんなのかはわかりませんがコメント欄によると偏光顕微鏡ではこう見えるのだそうです。ミニ知識をありがとう。この顕微鏡素敵。- 2012.1.3
- 動画・ニュル・蓮コラ・蛆虫

ちょっと鼻を押し上げるだけでこんなに大量なニュルが登場
鼻をかむ感覚でティッシュを鼻に押し当てぎゅっと絞るとあら不思議。白い雪のようなニュルがあちらこちらからの登場です。いつでもどこでも手軽にニュルを持ち運び楽しめるタイプの人は宴会にはもってこいなんだと思います。- 2011.12.11
- 動画・ニュル・蓮コラ・蛆虫

蓮コラ的頬からのニュル搾り出し映像
コメント欄にて「すごいやつ見つけちゃった!」と投稿いただいたニュル絞り映像は、ほっぺたをギュっとやったらまずで蓮コラにも似た感覚まで楽しめちゃうという1粒2度化映像だったみたいなんです。- 2011.11.27
- 動画・ニュル・蓮コラ・蛆虫

生検トレパンを利用して頭皮に穴を開け皮脂嚢胞をニュルっと出す除去映像
「Punch Biopsy Technique」という手法なのだそうで、ブスっと穴を開けるタイプの生検トレパンを利用して頭皮から皮脂嚢胞をニュルっと出す除去映像だそうです。穴の中から一定の太さのニュルがでてくるててくる。- 2011.11.21
- 動画・ニュル・蓮コラ・蛆虫

凍傷により5本指全部の水脹れとなってしまっの除去映像
-50度に手をさらしてしまったために凍傷となってしまい、指全部が水脹れと水脹れ状態となってしまった人の治療映像だそうです。針で中の水を除去しているわけですが、かなり痛々しいです。- 2011.11.18
- 動画・ニュル・蓮コラ・蛆虫

チョコレート菓子「ペペロ」に虫の幼虫がペペロンと混入(韓国)
すでにご存知の方も多いと思いますが、韓国内で販売されているポッキーにも似たチョコレート菓子「ペペロ」に、生きたままの幼虫が混入していたことが判明。韓国のテレビ局MBCが、今回の混入の事実を伝えたところ視聴者や消費者に衝撃を与えているそうです。- 2011.11.16
- 動画・ニュル・蓮コラ・蛆虫

針で突いて指でニュルっと絞り取る、中国系の顔面ニキビ治療映像
針のようなものをチクっと刺し、ブツが顔をのぞかせたところで指でギュっと搾り取る。中国のニキビ治療映像だそうです。っていうか手袋とかしなくてもいいわけなのかしら。指がニュルラッシュ。- 2011.11.13
- 動画・ニュル・蓮コラ・蛆虫

マゴットセラピー、ウジたちが皮膚を治してくれている映像最前線
マゴットセラピーは、ハエの幼虫である蛆(ウジ、Maggot)を使って傷を治療する療法のこと。wikipediaによると、医療用蛆は2004年に米国のFDA(食品医薬品局)によって医療用機器として認可されたそうです。マゴットセラピーは欧米圏では一般的治療ですが、日本ではそうでもないそうです。ですが欧米化の流れにより、国内のいくつかの病院でマゴットセラピーが行われており、医療用蛆を製造する業者も存在しているんだとか。ということで、ウジたちがおれたちの為に壊死した皮膚を食べている映像の最新版だそうです。
- 2011.11.9
- 動画・ニュル・蓮コラ・蛆虫

伸びるよ伸びる、アヒルのペニスは渦を描きながらぐんぐん伸びる
アヒルの陰茎を勃起させる実験映像なのだそうですが、ここまで書いて再掲だったことにピーンときてしまいましたが、こういうことってほら、復習とか大事だし、どうせ比べるなら人間同士とかじゃなく異種感でやったほうがバリエーショナリーだと思うわけだし、っという言い訳をかましながらおさらいです。今からもうアヒルさんは一目置く存在となり、なんならたてまつり崇めたてるそんな存在になるかもしれません。きっとそう。
- 2011.11.6
- 動画・ニュル・蓮コラ・蛆虫

ヘビで鼻洗浄?生きたヘビを鼻から入れて口に通す男
鼻と口がつながっていることぐらい知っていましたし、うどんが口から鼻へ逆流する芸人がいることも知っていましたが、生きたヘビが通るほどにいきいき通路があるとはちょっとびっくりです。ジャングルとかでまちがって寝ちゃって、ヘビとかが鼻から入って口からでたらどうしようと考えましたが、肛門から入られるよりはマシだと思うのでじゃあOK。- 2011.11.4
- 動画・ニュル・蓮コラ・蛆虫

耳にいるゴキブリを撤収する作業映像
耳の中を住みかとしていたゴキブリを撤収させる映像です。こんなのが耳に住んでたらカサカサ音が毎日マキシマムで24時間とか、想像を絶する苦悩なはずなんです。- 2011.10.30
- 動画・ニュル・蓮コラ・蛆虫

こうやって体内に侵入するんだ。ウマバエ(ヒトヒフバエ)の幼虫拡大映像
これまでウマバエ(ヒトヒフバエ)の幼虫に寄生された映像を数多くお届けしましたが、その幼虫の拡大映像が公開されていました。口の先が尖っていて、ここからニュルンと侵入するわけなのですね。あらやだこわい。- 2011.10.27
- 動画・ニュル・蓮コラ・蛆虫

毒グモってやっぱり怖いから、ニュル映像
毒グモにぱっくり噛まれてデローンなニュルシリーズ最新版です。この方はひじをぱっくりんちょされちゃったみたいですが、かなり大量のニュルというより液体を放出してしまった模様です。っていうかニュルの最新映像とか望んでいる人って日本に何人ぐらいいるんだろうか?あたしで1でしょ、はい次は?- 2011.10.23
- 動画・ニュル・蓮コラ・蛆虫

爪に産み付けられた卵?ダメージを負った爪の拡大映像
爪のお手入れは女子的な身だしなみのひとつなのですが、マニキュア、スカルプチャーや付け爪、ジェルコートなどをきちんと落とさず手入れしないとやはりいろいろ弊害が出ているみたいです。メンテナンスはとっても大事なのですね。- 2011.10.17
- 動画・ニュル・蓮コラ・蛆虫

らめぇえ!!勢い良く大放出したニュルを猫が食べちゃった。
腕部分からのニュル大量放出。つい自宅で手軽にやっちゃったばかりに、床に飛び散ったジュレ状のニュルを猫が食べちゃいました。そんなお掃除しなくていいからもぅ。- 2011.10.13
- 動画・ニュル・蓮コラ・蛆虫

鼻、しぼりまーす。
鼻絞りは誰もが手軽にできる簡単ニュル絞りアイテムだからして、マニアな方も多いはず。ということで、ごっそり大量にためておいた鼻ニュルを一挙放出する男性の映像第何弾くらいだろうこれで。- 2011.10.8
- 動画・ニュル・蓮コラ・蛆虫

膿んでボコボコになった頭からのニュル出し映像
かなり慢性化している頭のニュルを搾り出す映像です。これはもうお医者さんにいってほしいと心から願うわけなのです。- 2011.9.30
- 動画・ニュル・蓮コラ・蛆虫

映画内、ニュルしぼりシーン「Planet Terror」
B級ホラー映画内で顔面からニュルをピチュっと噴出させ攻撃するシーンだそうです。映画タイトルは「Planet Terror」だそうですが、1970〜80年代のものだそうで、2007年に公開されたプラネット・テラーとは違うっぽいです。- 2011.9.25
- 動画・ニュル・蓮コラ・蛆虫

似て非なるもの、サルのノミ取り、人間のニュルつぶし

熱心に相棒のノミ取りをするサル。そして熱心に、相棒のニュル絞りをする人間カップル。似て非なるものがあったので同時再生してみるのもいいかもしれません。
- 2011.9.21
- 動画・ニュル・蓮コラ・蛆虫

コロンと出てきた、ウマバエ摘出映像
ウマバエ、ヒトヒフバエ、英語ではボットフライ(bot fly)などとも呼ばれるある種のアブの幼虫は、人間を含む動物たちに寄生し、機が熟するのを待って飛び立とうとするわけで、なかなか手ごわいヤツなのですが、今回の映像は猫に寄生したウマバエの摘出映像だそうです。- 2011.9.13
- 動画・ニュル・蓮コラ・蛆虫

女性の足の裏から生まれ出ずる黒い物体の正体は?
1ヶ月前、この女性はキャンプにて、あるものを踏んでしまったのだそうですが、気にも留めずそのままにしていたところ、なにやら異物感があるということで、軽い気持ちで自宅にてピンセットで取り出してみたところ、予想をはるかに上回るものが産出されたそうです。- 2011.9.9
- 動画・ニュル・蓮コラ・蛆虫

目の上のたんこぶからニュル
目の上のタンコブからニュルを排出してくれているのは、タトゥ職人さん。掘るだけでなく絞るもできちゃう職人さんとかってすごい。でもってブツも固めの充実したものがとれたみたいです。- 2011.9.8
- 動画・ニュル・蓮コラ・蛆虫

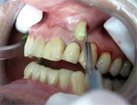
歯の上から歯?いいえ違いますニュルです。
口の中にできてしまったニュルの処罰映像。一瞬歯がもう1本生えてきたような錯覚に襲われるほど同じ色身をしていましたとさ。- 2011.9.1
- 動画・ニュル・蓮コラ・蛆虫

犬の胴部から大量に放出されるニュル虫動画(観覧注意)
こんにちは。誰得?俺得!ニュル・ウジ虫カテゴリーを日本で最初に設立しちゃったザイーガには、潜在ニュラーの方々から様々なニュル動画のタレコミがなされているわけですが、この映像もそのなかの一つ。犬の体内に潜んでしたという、ウマバエ(ヒトヒフバエ)の幼虫の一種なのかどうかはわからないままに、それ形状のニュル虫を手で搾り出す映像なのだそうです。- 2011.8.27
- 動画・ニュル・蓮コラ・蛆虫

わき腹からハリガネムシ?
既視感漂うこの映像、カラパイアでハリガネムシを紹介してたら関連動画ででてきちゃったので、まだ見てない人の為に再アップ。わき腹からニュルっとハリガネムシのようなものが出てきます。でもクタっとしてるからハリガネムシじゃないな。じゃあ何なんだろう?- 2011.8.20
- 動画・ニュル・蓮コラ・蛆虫

刺青のレーザー除去で水ぶくれ多発した男性の腕(ショッキング注意)
刺青は皮膚にそのまま掘り込まれるのでなかなか落ちないというのはご存知のことと思いますが、それを無理やり除去しようとすると、レーザーを使って除去作業を行わなければならず、まあ簡単に言えば火で炙って刺青部分を焼き取っちゃうわけですから、このような症状になってしまう方も一部いらっしゃるようですのね。- 2011.8.4
- 動画・ニュル・蓮コラ・蛆虫

【殿方悶絶注意報】尿道ウジ虫プレイ映像
数年来に渡ってザイーガとともに歩んできてくれた、女性読者、なめ子さんからのご紹介映像は、殿方の場合には小一ヶ月くらいはPTSDを引き起こすかもしれないので観覧には注意が必要な尿道ウジ虫プレイ映像。それにしてもすごいわこれ。出たり入ったり入ったり出たり。最終的には土に戻してくれるよう分解までをも作業してくれちゃうのかちら?- 2011.8.3
- 動画・ニュル・蓮コラ・蛆虫

腸内で蠢く回虫の様子を大腸内視鏡で観察
結構鮮明に映るものなんですね。っというか一番びっくりしたのは、この患者さんの大腸の中がすごぶるクリーンだったということなのですが、回虫がいると腸内洗浄サービスがうけられちゃうわけなのでしょうか?大腸検査はいろんな意味で怖すぎて受けたことありませんが、人に施してあげたいという気持ちだけは捨てきれていませんあしからず。- 2011.8.2
- 動画・ニュル・蓮コラ・蛆虫

鼻にたまった石灰状の鼻石の除去映像
鼻腔放線菌による鼻石の詰まりを除去する内視鏡映像です。というか後から後から出てくる出てくる。こんなに大量にぷっくりと入っているとはびっくりです。- 2011.7.31
- 動画・ニュル・蓮コラ・蛆虫

4年の月日を経てあの男が帰ってきた!鼻ニュル、クライマックス。
ニュル界では結構名の知れた男性が4年ぶりにニュル動画を公開した模様です。この男性の得意分野は鼻ニュルだそうで、4年ぶりというブランクをまったく感じさせない見事な芳醇ニュルを惜しみなく排出してくれています。- 2011.7.29
- 動画・ニュル・蓮コラ・蛆虫

マイクロスコープで顔や頭の角栓を除去する映像3連発
油ギッシュなお肌はニュルの宝庫。あちこち押すだけで、どんどん角栓が押し出されていくわけです。そんな埋蔵ニュルを押し出す映像3連発で。- 2011.7.24
- 動画・ニュル・蓮コラ・蛆虫

ウジ虫の小動物死体処理能力が恐ろしく高性能(桃付)
動物の死体は本来土に還すべく、バクテリヤやウジ虫などが分解していくわけですが、その処理過程がわかる早回し映像があった模様です。動物の死骸の横に置いてある桃にはまったく手をつけないあたりが、ウジ虫の意思と主張と生産性の高い処理能力が伺えるわけなんです。いい仕事してんなー。- 2011.7.20
- 動画・ニュル・蓮コラ・蛆虫

陰毛(♂)を小麦粉粘土に植毛したら予想以上にヤバかった

好きなところに植毛できたら人類の未来は変わっていたことでしょう。ということで、そんな思いを胸にいだき、自身の陰毛(タイプ:チン)を小麦粉粘度に移植したところ、一定の本数を過ぎたあたりから劇的に未知生物のような変貌に急変するという、一種のビフォア・アフター画像です。
- 2011.7.17
- 画像・ニュル・蓮コラ・蛆虫

親食い?死んだハエにむらがるウジ
ハエは卵生なので、お尻から生まれ出てきたとは考えにくいので、死んだハエに群がってきたという感じなのでしょうか?同種であり親であるハエに群がるウジの様子を撮影したものだそうです。安心の低画質で初心者もこれならOKさ。- 2011.7.15
- 動画・ニュル・蓮コラ・蛆虫

ある男からの挑戦状「化膿した足を自己流で切開するけど、最後まで見ることができるかな?」
かなりひどいことになっている化膿してしまった脚の指を、自らでオペするという映像なのだけれども、投稿者によるコメントには「最後まで見ることができたら家でもロケットでも買ってあげちゃう。たぶんね」っていうことで、結構えぐい感じになっています。これに対し、視聴者からは「たのむから病院にいってくれ」と懇願する形で応答が・・・- 2011.7.6
- 動画・ニュル・蓮コラ・蛆虫

親父の背中 のニュル
男は背中で語るとかなんとか言いますが、父親の背中はより感慨深いものがあるはず。そんな親父の背中に発現したニュルを出すのも親孝行のひとつってものなのだと思います。しかもこのニュル、なかなかのハイレベルです。- 2011.6.29
- 動画・ニュル・蓮コラ・蛆虫

なんでそんな?蓮コラ的スカリフィケーション(観覧注意)

体に医療用メスなどを用い、傷で模様を描くスカリフィケーション。象徴的なシンボルを入れたり文字を入れたりかわいいペットを入れたりと、様々な模様を描いていくわけなのですが、この女性の場合には、意味が良く分からないぱっと見蓮コラ的な模様を入れ込んじゃったみたいなんです。ということで施術過程の画像が含まれておりますので観覧注意でお願いします。
- 2011.6.21
- 画像・ニュル・蓮コラ・蛆虫

人間の血をたっぷり吸わせたヒルをタバコの煙を溶かした水に入れるとどうなるか?
ヒルは時として種別によって、人間の悪い血を吸ってくれる益虫としても知られていますが、そんなヒルに、人間の血をたっぷり吸わせた状態で、タバコの煙を溶かしいれた水に入れるという実験をした模様です。ちなみにこの水はタバコの成分20%が溶け込んでいる状態なのだそうで、で、こうなるのだそうです。- 2011.6.17
- 動画・ニュル・蓮コラ・蛆虫

毛根がピロン!!こりゃたまらん。「ヒゲを抜いてみたよ〜」映像
もどかしい手つきでマイクロスコープで拡大撮影しつつ、ヒゲを抜く日本からの映像が、海外で高評価を得ていました。うん確かにここまで尻尾が長いのがピロンって抜けたらかなりの爽快感。- 2011.6.6
- 動画・ニュル・蓮コラ・蛆虫

朝でも夜でもヒル!アマゾン流域に生息する巨大ヒルの使われ方

アマゾン川流域のベネズエラとフランス領ギアナに生息するヒルは、通常のヒルよりもかなり巨大だそうで、大きさ30cm(最大個体でcm)、幅10cmもあるそうです。南米ではこのヒルの利用法として、まだ巨大化しないうちには悪い血を吸っていただくというヒル治療に。完全成長してしまったヒルは天日干しにして煎じたり、エキスを抽出して化粧品や衣料品として使われるのだそうです。
- 2011.6.4
- 画像・ニュル・蓮コラ・蛆虫

ニュルマニアの為の指ニュル指輪
この指輪を装着することで魅惑のニュルキャリアとなれるそんな目からウロコ、指からニュルなニュルリング。略してニュリング?略す必要ないですか。こりゃまた失礼しました。- 2011.6.4
- モノ・グッズ・ニュル・蓮コラ・蛆虫

トグロを巻きながらのニュル
果たしてこの毛根密林地帯が、体のどの部位に相当するのかはまったくわからないままに、小気味良くトグロを巻きながら排出されるニュルが重力により落ちていくという海外では評価の高かったニュル映像なのでした。- 2011.5.28
- 動画・ニュル・蓮コラ・蛆虫









眼球の網膜にできた嚢胞の除去映像だそうです。ピンセットのような機械で引っ張り出しそのあと吸い取るみたいです。














